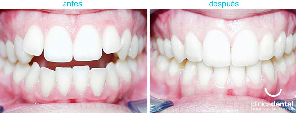
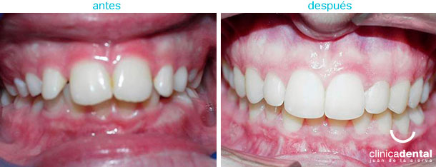
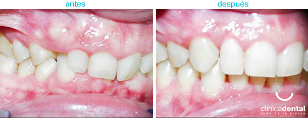
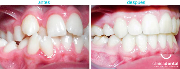
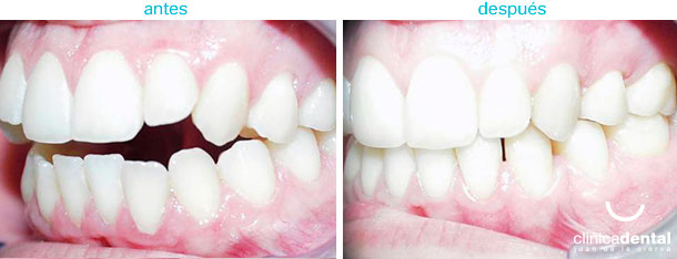
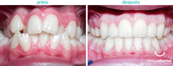
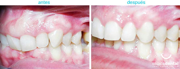
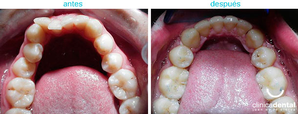
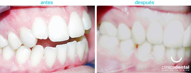
Consulta en nuestra la galería, alguno de los casos clínicos tratados por nuestros especialistas dentales en la Clinica Dental Juan de la Cierva.
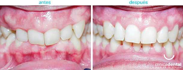
Consulta en nuestra la galería, alguno de los casos clínicos tratados por nuestros especialistas dentales en la Clinica Dental Juan de la Cierva.