La periodoncia es una especialidad de la odontología que se dedica a la prevención, diagnóstico y tratamiento de las enfermedades de las encías y los tejidos de soporte de los dientes. Estas enfermedades se conocen con el nombre de enfermedades periodontales y las más frecuentes son la GINGIVITIS y la PERIODONTITIS, comúnmente conocida como “piorrea”.

Las enfermedades periodontales tienen un origen infeccioso y son causadas por bacterias que si no eliminamos de manera eficaz, proliferan y pueden llegar a introducirse en el interior de las encías, donde no son accesibles al cepillado. Producen la destrucción ósea alrededor del diente de forma indolora, ocasionando finalmente la pérdida de los dientes sino se trata a tiempo.

periodoncia

Tratamiento

Una vez diagnosticada la enfermedad periodontal mediante un examen clínico y radiográfico se podrá curar con un tratamiento periodontal meticuloso, cuyo objetivo es eliminar las bacterias acumuladas en el interior de las encías.

Para evitar que se reactive la enfermedad periodontal hay que seguir con un mantenimiento periodontal que consiste en visitas periódicas para la eliminación de la placa y cálculo dental y para realizar un control clínico tanto de la encía como del hueso de soporte.

Restitucion encia perdida

Restitución de la encía perdida

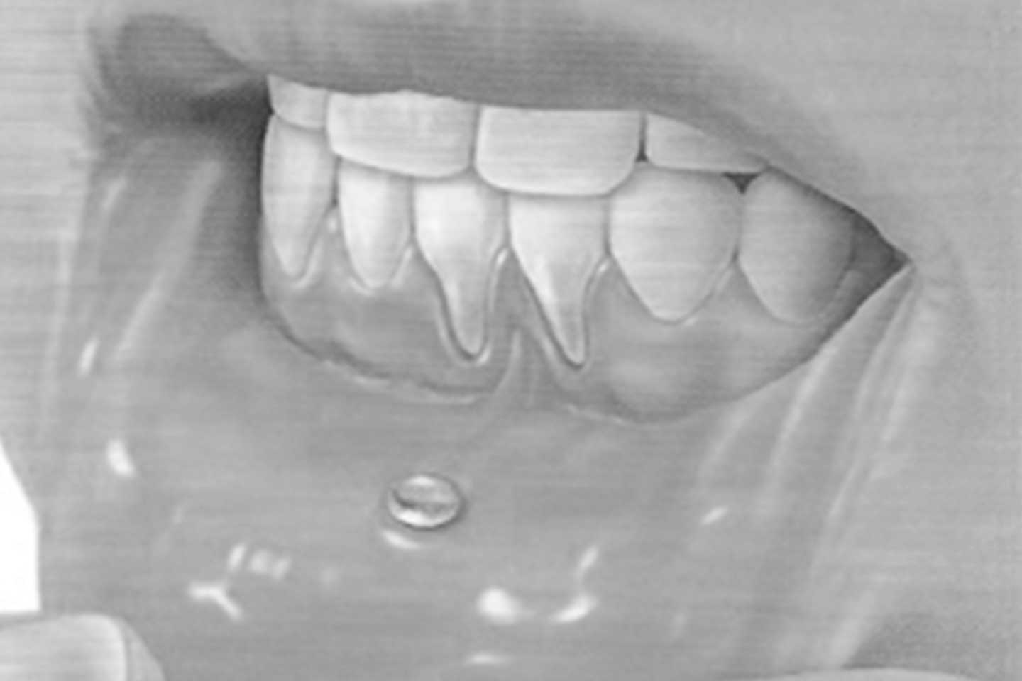
Llamamos recesión gingival a la pérdida de encía, que deja parte de la raíz expuesta. Esta pérdida se produce por uno o varios factores combinados, como son la presencia de una encía demasiado fina, la inflamación por bacterias propia de la gingivitis, la periodontitis, y el desgaste por un cepillado traumático.

Existen técnicas mediante injertos de encía que nos permiten crear la encía que faltaba y cubrir la raíz expuesta.

En ocasiones podemos cubrir toda la raíz expuesta, en concreto cuando el hueso entre los dientes está intacto. Por el contrario, cuando el hueso entre los dientes se ha perdido por la periodontitis, sólo podemos cubrir con el injerto hasta la parte más alta del hueso que queda.